
Before & After
Before & After
See For Yourself
Incredible Transformations
At Rituals Dental Wellness & Aesthetics, we believe in celebrating the transformations that come with embracing dental wellness. Browse our gallery of actual patient results showcasing the artistry of Dr. Sem's work—from beautiful cosmetic restorations to subtle aesthetic enhancements. Each smile tells a story of new confidence and improved well-being.
%20(1).webp)
.webp)
.webp)
.webp)
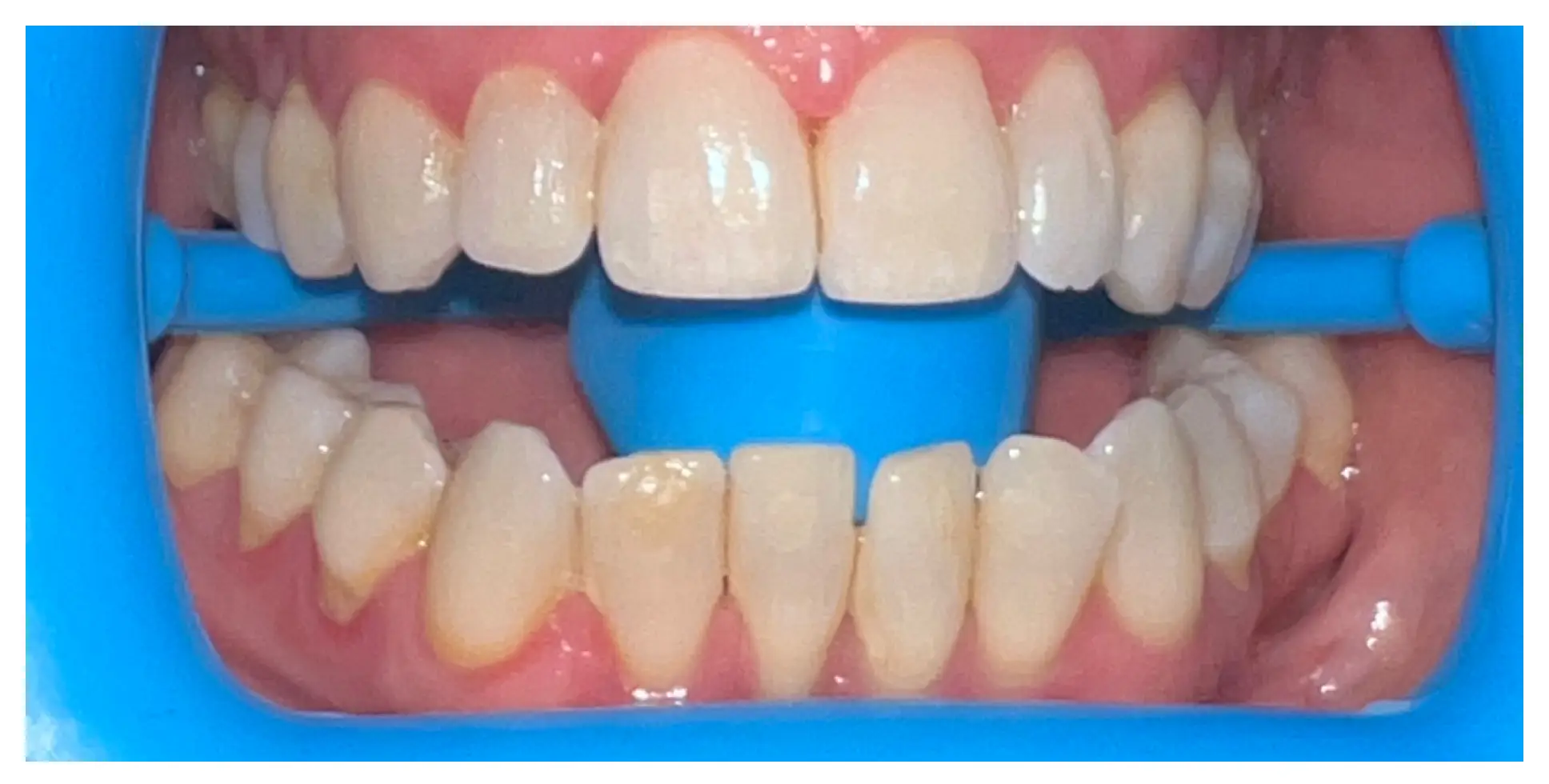
Whitening
.webp)

Whitening
.webp)

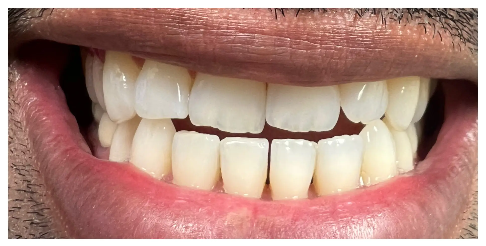
Upper Teeth Crowns
.webp)

Bonding
.webp)

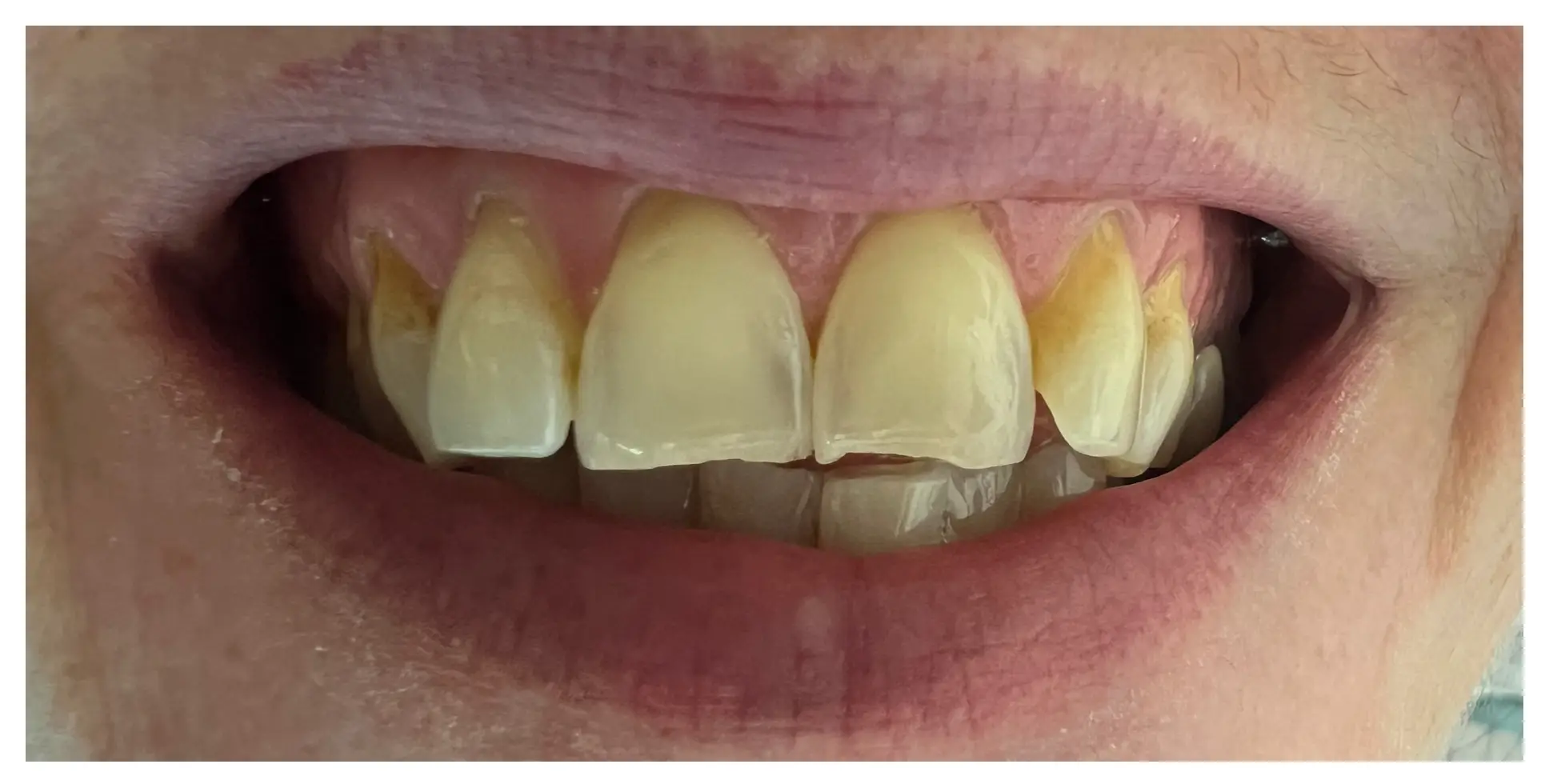
Denticure (Cosmetic Reshaping)
.webp)
.webp)
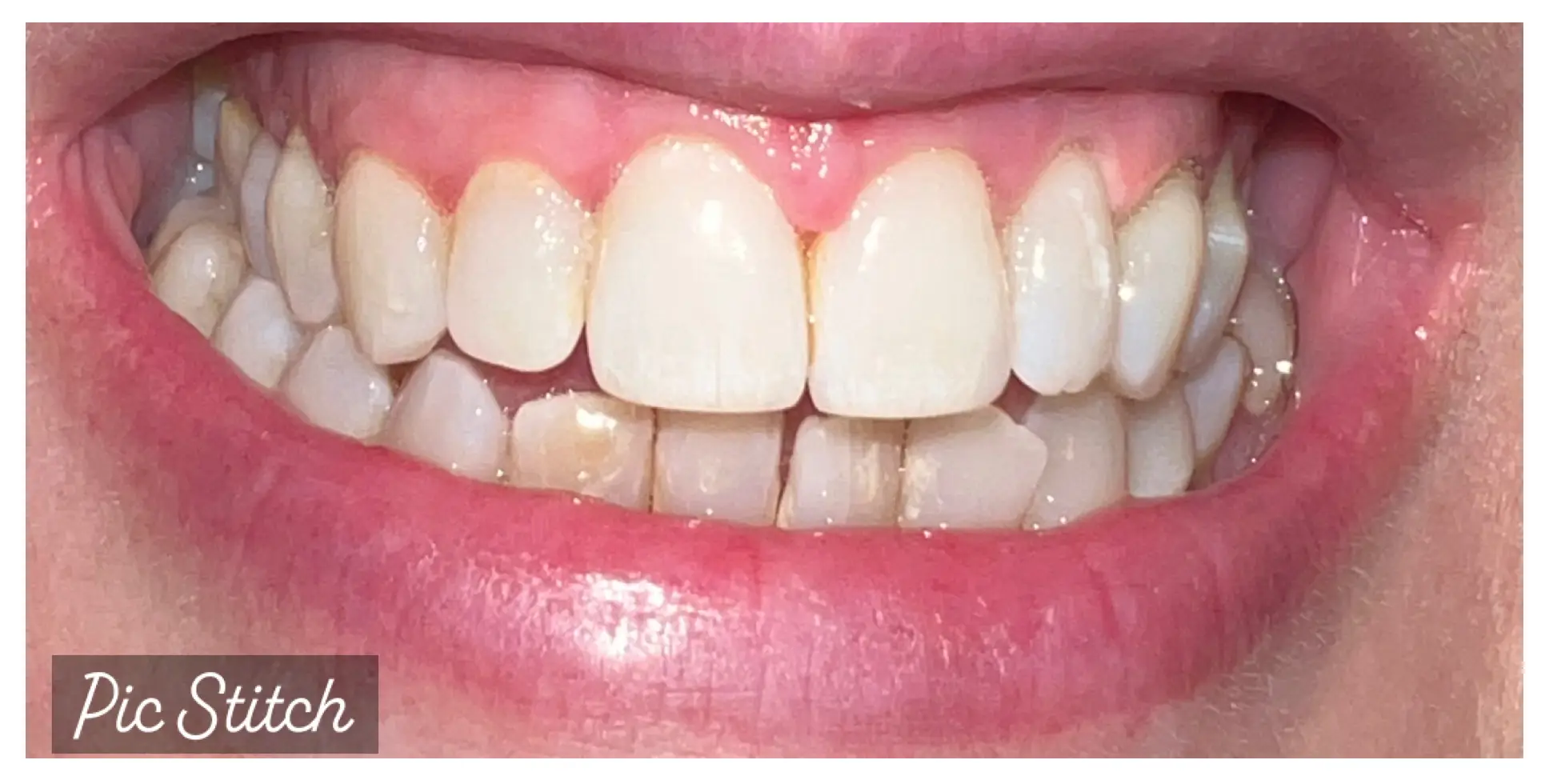
Denticure (Cosmetic Bonding)
.webp)
Embrace Yourself.
Discover Your Ritual.
Discover Your Ritual.